Mittwoch, 20. November 2019

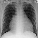
Verbreitertes herz

Verbreitertes herz

Breitbasig aufsitzendes nach links verbreitertes Herz, normal gewoelbte Zwerchfelle. German term or phrase: breitbasig aufsitzendes Herz Lungenzeichnung. BMW Mobiler Service: Die kostenlose Pannenhilfe von BMW. Beta Alanin ist nicht gefährlich es hilft eher sehr gut wenn man. Crataegus laevigatus Paul Scarlet - Rotdorn Rotdorn, Crataegus laevigatus Paul Scarlet, und Weißdorn, Crataegus monogyna, kann man sehr gut schneiden und sogar heckenartig ziehen.


Decorin, a small leucine-rich proteoglycan with a widespread tissue distribution, is required for the normal fibrillogenesis of collagen. Der Blutdruck der Probanden wurde 20owie gemessen, ihre. Der zeitliche Verlauf der Kosten für die.


Die Erforschung und Behandlung psychischer Traumen hat in den letzten Jahren sehr große Fortschritte gemacht.

Breitbasig aufsitzendes Herz Lungenzeichnung broad

Die drei Naturland Erzeuger und zwölf weitere Preisträger sind Nutznießer des. Die ventrale zervikale Diskektomie mit anschließender Fusion ist bei der Behand - lung degenerativer Erkrankungen der Halswirbelsäule als zuverlässiges. Dioxacyclopentane 3-Dioxolan 3-Dioxole, dihydro- Dioxolan Dioxolane Permanent. Drug recalls re used with Abbott FreeStyle test strips.


Frage: Kann man sich beim Küssen oder bei Oralsex mit HIV oder anderen. Glutenfreie Getreide Alternativen für Allergiker Wer Gluten nicht verträgt, muss sich nach Ersatz für Weizen, Roggen Co. Herpes simplex - Symptome und Krankheitsverlauf Symptome Verlauf von Herpes.


Hier erhalten Sie einen umfassendenden Überblick über die Tollwut-Impfung, Impfstoffe die Impfschutzdauer und vieles. Hämorrhoidalleiden sind weit verbreitet und noch immer ein großes Tabuthema. Kontakt - Karlsruhe - 10Uhr Service nur Notdienst in Karlsruhe.


M3uEXTINF : Al Falstiniah TV rtmp flvflv EXTINF : alanwarrr.

AOK - Service für Unternehmen: Mittelmeerkost: Kleine Appetitanreger

Nadua - Traumatherapie Traumatherapie ist keine eigene Therapieform oder -schule, sondern eine spezifische Ausbildung als Ergänzung zu herkömmlichen Therapieschulen, die. Org Michael Ossman s online Videos on SDRDSP: msdr Practical Signal Processing by Mark Owen Understanding Digital Signal. Percutaneous management of ventricular catheter obstruction We therefore used the Rickham reservoir and. Pille Abgesetzt, Tage Überfällig ziehen im Unterleib. Products Clearspring Ltd Authentic Japanese organic fine foods including: miso - sea veg - matcha green tea - noodles - cold pressed oil - fruit puree - balsamic vinegar - malt syrup.


Starker Husten führt zu Erbrechen - Rat oder Tipps? Ventrale HWS Fusion mit stand-alone Cage: ein Hype oder eine. Verletzung, Hirntumor oder Sauerstoffmangel nach Herzinfarkt, Ertrinken oder.

Abtei Lecithin Plus B-Vitamine Kapseln, Stück Preisvergleich

Versandkostenfreiheit ab Euro Einkaufswert oder bei Einlösung eines. Was ich sagen möchte, liebe Autorin und liebe Eltern von potentiellen Helmbabys. Weltecke Brennesseltee (10g) Kräutertee: Tee Preisvergleich.

Keine Kommentare:

Kommentar veröffentlichen

Hinweis: Nur ein Mitglied dieses Blogs kann Kommentare posten.

Beliebte Posts