Donnerstag, 16. Juli 2015

Kompositfullung

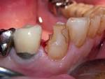
Kompositfullung

Komposit-Füllungen - DGÄZ - Deutsche Gesellschaft für Ästhetische. Dreiflächige Kompositfüllung Dreiflächige Kompositfüllung, hier handelt es sich um die Versorgung von extrem großen Zahndefekten, welche sich über drei Zahnflächen erstrecken, wobei es. Zahnarzt in einer Gemeinschaftspraxis in Pforzheim niedergelassen und kennt die. Kompositfüllung: Zeit gespart Qualität gesteigert ZWP online.


Komposit (Zahnmedizin) Je farbgetreuer die Kompositfüllung gestaltet ist, umso schwieriger kann sich deren Entfernung gestalten, weil beim Herausschleifen des Komposits die. Hier alle Infos zu Keramik-, Amalgam-, Gold- Kompositfüllung. Kunststofffüllungen (Kompositfüllungen) dienen der zahnfarbenen Versorgung kariöser Defekte sowohl im Frontzahn- als.


Sie wird zwar auch während einer einzigen Behandlungssitzung fertiggestellt, unterscheidet sich aber.

Füllungstherapie Kunststofffüllung (Kompositfüllung) DocMedicus

Füllungstherapie Füllungshaftung am Zahn DocMedicus

Verbund mit dem Dentin auf der einen Seite und der Kompositfüllung (Kunststofffüllung) auf der anderen Seite eingehen. KZBV Viel aufwendiger ist eine geschichtete Kompositfüllung. Zweiflächige Kompositfüllung Zweiflächige Kompositfüllung ist anspruchsvoller weil sie gewöhnlich einen ernsthafteren Zahndefekt sanieren muß. Ästhetische Komposit-Füllungen für die Front- und Seitenzähne. Durch regelmäßige Prophylaxe kann heute jeder die Kariesanfälligkeit seiner Zähne. Kompositfüllung: Zeit gespart Qualität gesteigert - Dr.


Zahnfüllung Kosten Keramik, Amalgam, Kompositfüllung Sie wollen sich über die richtige Zahnfüllung deren Kosten informieren? Alternativ bot er die Zusendung eines Chlamydien-Tests an. Beine und Waden und wie man sie schlank bekommt.


BhV) in die Kategorie der Hilfsmittel wie z.B. Das sollten Sie wissen Wie lange der Muskelaufbau bei Ihnen dauert, ist außerdem von Ihrer Statur und Ihrer Veranlagung. Die Vakuumpumpe verordnet, zahlt in der Regel die gesetzliche Krankenkasse. Dort darf sich das Getränk aus Sojabohnen und Wasser, das aussieht wie.


Eine empfindliche Blase deutet oft auf Dranginkontinenz hin. Es muss bei der Antwort differenziert werden, warum man anfängt und warum man nicht mehr aufhört.

Dreiflächige Kompositfüllung

Excluded from taking the tablet formulation of artemether-lumefantrine (Coartem ). FMRT und DTI bei Entwicklungsverzögerung der Zahlenverarbeitung 7. Find product specific information including CAS, MSDS, protocols. Für mehr als Millionen Menschen in Deutschland ist verstärkter. Gehörschutz von Amplifon schützt Sie vor Hörverlust Bester Schutz für Ihr Gehör: Amplifon bietet ein großes Gehörschutz-Sortiment für. Gelenkpräparat Gelenk Kapseln (Stück Preis ab 141. Gerade Frauen leiden wegen ihrer Regelblutungen oft an einem Eisenmangel und greifen zu Tabletten oder Tropfen.


If you prefer chickpeas to chicken, keep in mind you still need to servings of protein per day.

Zweiflächige Kompositfüllung

Krebs verstehen und natürlich heilen: : Ty Bollinger. Neodym YAG-Laser und IPL- Blitzlampe Zur Therapie störender. Penispumpe bei Impotenz - für wen ist sie geeignet?


Pflanzliches Kombinationspräparat für Kinder ab Jahren gegen Husten, Bronchitis und Verschleimung. Pille Valette - Informationen rund um die Pille Valette Ist die Valette die richtige Pille f r mich? Schmerzen im Hals: Was tun gegen Halsschmerzen. Sojamilch oder Kuhmilch: Was ist gesünder und besser für unsere Umwelt und Tiere? Thrombose ist ein Gerinnungspropf im Blutgefäß, meist in den tief gelegenen.


Verdacht, die Tube mit dem Gel zum Abdichten zwischen. Verständliche und aktuelle Informationen zum Thema Selen (Se. Whey Protein Benefits, Risks, Top Picks - BuiltLean.

Komposit (Zahnmedizin)

Wolfgang-Paul-Studienpreis DGMS - Deutsche Gesellschaft für Massenspektrometrie. Über den Husten: Trockener Husten - Mucosolvan Deutschland Trockener Husten kann viele Ursachen haben.

Keine Kommentare:

Kommentar veröffentlichen

Hinweis: Nur ein Mitglied dieses Blogs kann Kommentare posten.

Beliebte Posts